Attualità
|
11/11/2025 08:05

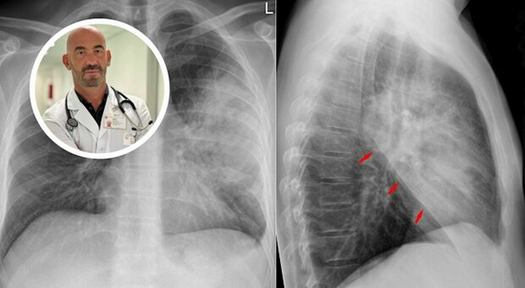
Polmonite, boom di casi. Bassetti: «Ospedali già pieni»

Sintomi, cause, cure e cosa non fare

di Redazione

«I nostri ospedali sono già oggi pieni di casi di polmonite», avverte Matteo Bassetti, direttore Malattie infettive dell’ospedale policlinico San Martino di Genova. Ogni anno in Italia ci sono almeno 150mila ricoveri e 9mila i decessi. Ma i dati “importanti” dell’andamento dell’influenza (e altri virus) in Australia non fa ben sperare per quest’anno. Anche perché alcuni recenti casi noti, come per la morte del maestro Peppe Vessicchio (per la forma interstiziale) o per il ricovero dell’allenatore del Bologna Vincenzo Italiano, hanno riportato alta l’attenzione. Anche se, fortunatamente, in Italia la mortalità è una delle più basse d’Europa. Vediamo insieme cause, sintomi e come riconoscere la polmonite con il dottor Bassetti.

Le cause?

La polmonite è una malattia che colpisce i polmoni ed è causata da tantissimi agenti eziologici diversi. Può essere causata dall’influenza, può essere causata dallo pneumococco (che è un altro batterio che tipicamente può causare polmoniti), può essere causata dalla legionella, può essere causata da altri batteri come l’Haemophilus, come la Klebsiella, come l’escherichia coli e può essere causata anche da altri tipi di virus, per esempio il coronavirus, il Covid, il virus respiratorio sinciziale. Sono tantissimi, quindi, i microrganismi che possono causare polmoniti.

Quanti casi dobbiamo aspettarci quest’anno con l’influenza che in Australia ha portato a un numero di elevati?

Moltissimi. Anche gli anni scorsi abbiamo avuto tantissimi casi di polmonite, davvero tanti. I nostri ospedali sono già oggi pieni di casi di polmonite, che abbiamo in generale tutto l’anno. Sono molti anche i casi impegnativi, che vanno gestiti naturalmente da mani esperte e soprattutto in cui bisogna lavorare bene per quanto riguarda la fase di diagnostica, perché sapere di avere una polmonite virale o batterica è molto diverso per quanto riguarda la gestione.

Sintomi?

I sintomi della polmonite sono abbastanza tipici, perché abbiamo una classica insufficienza respiratoria, cioè fondamentalmente si ha la dispnea, cioè la difficoltà a respirare. Con la desaturazione, cioè il saturimetro ci dice che la saturazione che normalmente è intorno al 95% scende a 90, 89, 88, 87, quindi c’è una difficoltà a scambiare l’ossigeno a livello polmonare.

Poi ci può essere la febbre, ci può essere la tosse, che in genere se c’è una forma interstiziale è secca, se invece c’è una forma più facilmente batterica, una tosse grassa, magari una tosse con anche un espettorato rugginoso (ovvero colorito tendente a appunto al marroncino, al rossastro), può esserci un dolore abbastanza tipico a livello del del petto, a livello della schiena, che in genere è tipico della polmonite.

E poi naturalmente una stanchezza, una spossatezza, questi sono i generi sintomi più importanti.

Rischi di una polmonite sottovalutata?

Una polmonite sottovalutata può progredire, dare un ascesso polmonare, una situazione abbastanza impegnativa e quindi i batteri crescono e in qualche modo si nascondono. Oppure possono essere delle forme che possono continuare a interessare più parti del polmone, perché una polmonite può interessare un pezzettino del lobo o tutto un lobo, addirittura tutti e due i lobi, quindi può essere anche multifocale, cioè può dare può colpire più parti del polmone.

Questo è uno dei rischi quando la polmonite progredisce e poi si va incontro a un’insufficienza respiratoria molto grave, per cui si ha bisogno dell’ossigeno che può essere dato o attraverso la mascherina oppure attraverso il casco o addirittura attraverso il tubo, quindi si rischia di finire intubati, in terapia intensiva e c’è bisogno, appunto, della ventilazione meccanica.

Comportamenti da evitare?

Se si hanno dei sintomi compatibili con la polmonite bisogna farsi vedere da un medico, quindi evitare di curarsi da soli.

Fare una visita dal medico, una radiografia del torace o una TAC per vedere che non ci siano, appunto, dei segni di polmonite e poi, naturalmente, fare un’adeguata diagnostica, cioè fare il tampone per vedere se è un virus, per vedere se è un batterio e a quel punto poi di gestire come come curarlo.

La cura?

Le polmoniti batteriche hanno bisogno di una terapia antibiotica per almeno 7 giorni e si guarisce completamente.

Per le polmoniti virali si può usare la terapia antivirale, quella, per esempio, da influenza con l’oseltamivir e quella da Covid con il remdesivir che sono le due farmaci antivirali, mentre per tutti gli altri tipi di virus, purtroppo grossi farmaci non ce ne sono, quindi bisogna cercare di gestire al meglio i sintomi.

Come si possono gestire i sintomi?

Si possono gestire col cortisone, che è una terapia anti-infiammatoria molto potente, o con altri farmaci antinfiammatori in uso.

Come riconoscere la polmonite?

Per distinguere una polmonite dai tipi diversi di microorganismo bisogna fare un tampone, quindi bisogna fare un po’ come si faceva durante il Covid.